
27.02.2026
Manchmal entscheidet ein einziger Moment über ein ganzes Leben.
Tiger ist gerade einmal acht Monate alt. Ein junger, neugieriger Kater mit viel Unsinn im Kopf und eigentlich noch seinem ganzen Leben vor sich.
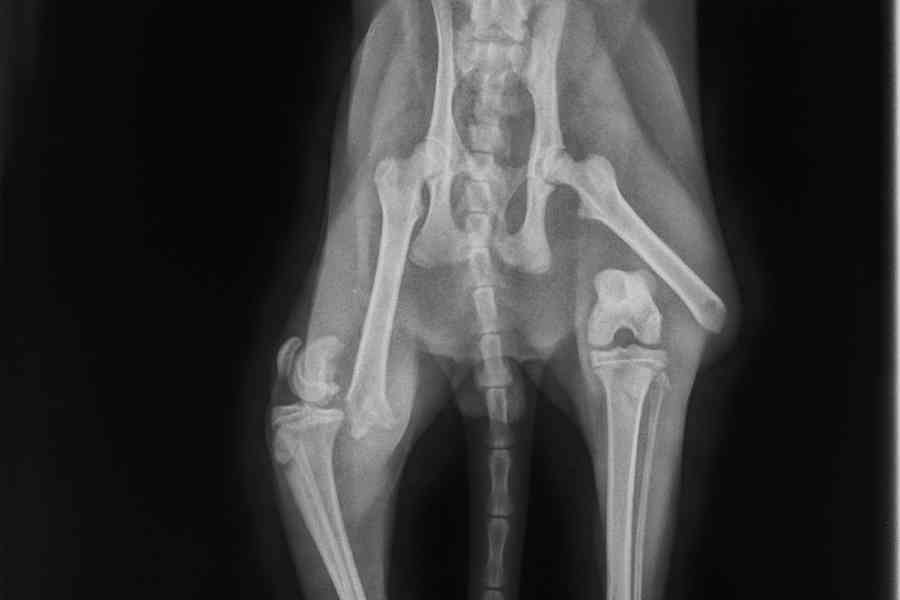
Gefunden wurde er reglos auf der Straße liegend. Alles deutet auf einen Autounfall hin.
Die Diagnose traf uns mit voller Wucht: Beide Oberschenkel sind gebrochen.
Für Tiger bedeutete das eine sofortige Einweisung in die Klinik. Eine aufwendige Operation bei einem erfahrenen Chirurgenteam war seine einzige Chance seine Beine zu behalten und jemals wieder schmerzfrei laufen, springen und spielen zu können.
Die Operation hat er geschafft!
Doch sein Leidensweg ist noch lange nicht zu Ende:
Viele Wochen der Genesung liegen vor Tiger: Ruhe, Physiotherapie, Nachuntersuchungen und intensiver Betreuung. Wochen, in denen wir alles daransetzen, dass aus dem totgeglaubten Fundkater wieder ein lebensfroher Jungkater wird.
Was uns große Sorgen bereitet, sind die Kosten:
Spezialoperation, Klinikaufenthalt, Medikamente, Nachkontrollen – die Ausgaben werden explodieren.
Aber Aufgeben ist keine Option. Nicht für Tiger. Nicht für uns.
Er hat sich ins Leben zurückgekämpft. Jetzt braucht er Menschen, die ihm helfen, diesen Weg weiterzugehen.
Bitte unterstützen Sie Tiger mit einer Spende.
Jeder Beitrag – egal in welcher Höhe – hilft uns, seine medizinische Versorgung zu stemmen und ihm die Zukunft zu schenken, die er verdient: ein Leben ohne Schmerzen, mit sicheren Sprüngen und einem liebevollen Zuhause.
Gemeinsam können wir dafür sorgen, dass Tiger nicht nur überlebt – sondern auch wieder richtig leben darf.
Wir bedanken uns von Herzen für jede Unterstützung!
