
30.04.2026
Als Fridolin gefunden wurde, lag er schwer verletzt am Straßenrand – gezeichnet von einem Autounfall, ohne Hilfe, ohne Besitzer, ohne Sicherheit. Niemand weiß, wie lange er dort schon ausgeharrt hat. Was wir aber wissen: Er lebt. Und er will leben.
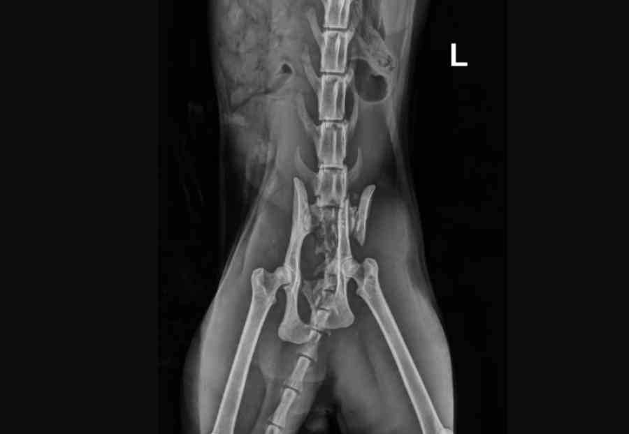
Seine Hüfte ist komplett zertrümmert, die Schmerzen müssen unvorstellbar gewesen sein. Doch Fridolin hat gekämpft. Und er kämpft noch immer.
Aktuell befindet er sich stationär in tierärztlicher Behandlung. Die Diagnose ist ernst – und der Weg zurück ins Leben wird lang. Fridolin braucht jetzt 8 bis 10 Wochen strikte Boxenruhe, regelmäßige Kontrolluntersuchungen, Schmerztherapie, intensive medizinische Versorgung und tägliche Pflege. Dazu kommen mögliche Folgebehandlungen, Medikamente und ein enormer Betreuungsaufwand.
Und als wäre das nicht genug, bringt Fridolin noch eine zusätzliche Herausforderung mit: Er ist ein unkastrierter Streunerkater – misstrauisch, voller Angst und alles andere als kooperativ. Jede Behandlung bedeutet Stress für ihn und erfordert viel Erfahrung, Geduld und Fingerspitzengefühl vom Tierheimteam.
Doch genau solche Tiere sind es, die uns am meisten brauchen.
Fridolins Geschichte steht stellvertretend für ein großes Problem: Streunerkatzen leben oft unsichtbar unter uns – ohne Schutz, ohne medizinische Versorgung, ohne Stimme. Unkastriert vermehren sie sich unkontrolliert, viele werden krank, verletzt oder sterben früh. Ohne Hilfe bleiben sie auf sich allein gestellt.
Fridolin hatte Glück im Unglück – er wurde gefunden. Jetzt liegt es an uns, ihm eine Chance zu geben.
Seine Behandlung verursacht hohe Kosten, die ein Tierheim alleine kaum stemmen kann: Notfallversorgung, stationärer Aufenthalt, Medikamente, Nachsorge, Spezialbetreuung – all das summiert sich schnell.
Wir bitten dich daher um Unterstützung: Jeder Beitrag hilft, Fridolins Versorgung zu sichern und ihm den Weg zurück ins Leben zu ermöglichen.
Bitte spende jetzt und hilf Fridolin zu kämpfen. Gemeinsam können wir ihm zeigen, dass er nicht mehr alleine ist.
Danke für jede Spende!
Kennwort „FRIDOLIN“ über Paypal oder Konto IBAN: AT20 2025 6000 0061 6193

Hier geht es zu weiteren Möglichkeiten von Spenden oder Patenschaften, um die Schützlinge der Region zu unterstützen.
Auch jeder Einkauf im TSV Onlineshop hilft direkt!
Ein besonderer Geschenktipp für ein ganzes Jahr mit tierlieben Impulsen ist dabei übrigens unser Tierschutz-Kalender 2026.